Bilateral Ground Glass Opacities Radiopaedia

Bilateral multilobar peripheral ground glass opacities in both lungs predominantly in mid to lower zones.
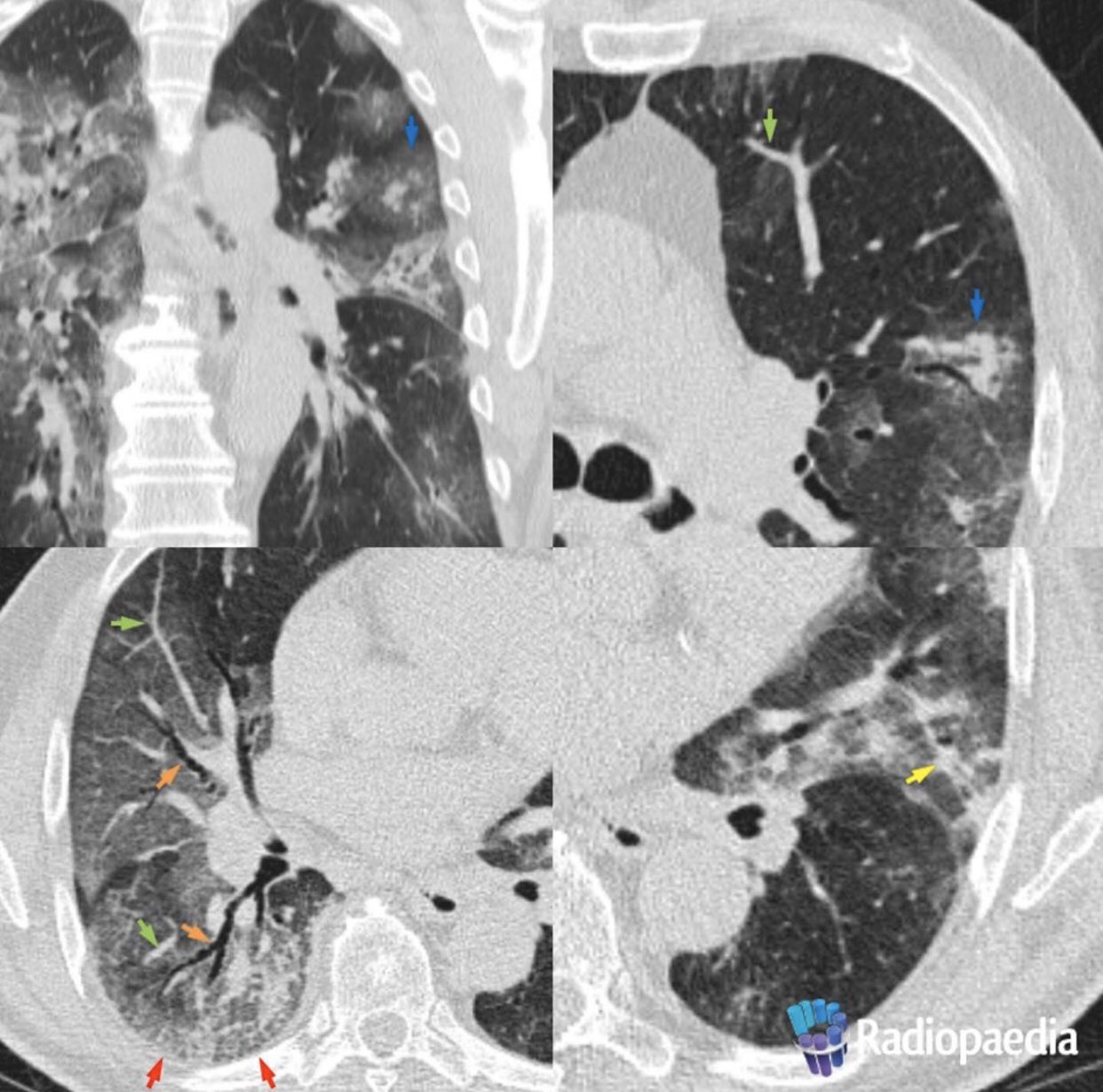
Bilateral ground glass opacities radiopaedia. No history of contact with positive covid 19 cases or traveling to pandemic areas. Cmv pcr loadcmv dna p. Ground glass opacification opacity ggo is a descriptive term referring to an area of increased attenuation in the lung on computed tomography ct with preserved bronchial and vascular markings. Radiological features scattered peripheral opacities on chest radiograph and scattered ground glass opacities on ct ch.
The disease was first seen in the city of foshan in guangdong province in china in 200. Multiple healed bilateral posterior rib fractures and there is a kyphosis with mild anterior wedging of several mid thoracic vertebrae. The ground glass and or consolidative opacities are usually bilateral peripheral and basal in distribution 2 32. An exhaustive list of all possible causes of acute bilateral airspace opacities is long but a useful way to consider the huge list is via the material within the airways.
The chest film may be insensitive at the beginning of the disease. Crazy paving appearance ggos and inter intra lobular septal thickening air space consolidation. There is a mosaic attenuation pattern with ground glass opacity predominantly in the right upper lobe. These changes are likely secondary to gas trapping and superimposed infection.
Partial consolidations along the bronchovasular bundles surrounded by ground glass opacities ggo superimposed inter and intralobular septal thickening crazy paving pattern in the right lower lobe. The severe acute respiratory syndrome sars is a zoonotic illness caused by severe acute respiratory syndrome related coronavirus sars cov 1 a coronavirus. Extensive patchy bilateral multi lobar ground glass opacities ggo predominantly peripheral distribution in the left lung peripheral and central distribution in the right lung. Is case demonstrates acute extensive bilateral ground glass opacities in an immunocompromised patient with differentials including pneumocystis jirovecii and cmv with the latter favored given the elevated cmv viral load.
This patient tested positive for covid 19. Fluid primary differential if there is cardiomegaly pulmonary edema.